

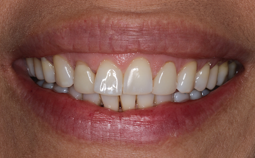
This is one of our Favourite cases of 2024!
This lovely lady came to see Dr Jonathan, upset about the dark black triangles between her front teeth and how her old veneers were not the right colour match to her front teeth. The uneven gum level and the alignment of the teeth also created a lack of symmetry.
Dr Jonathan provided four minimally invasive porcelain veneers to restore harmony to her smile and close the black triangles between her teeth.
The transformation was dramatic, and she finally feels confident to not just smile but to beam! This was all achieved in two visits using a fully digital workflow.
“Our lovely patient came to us looking for a solution to melasma and enlarged...”
“Just one treatment of BBL and the glow speaks for itself. This lovely patient...”
“From the moment I walked into Aventis, I knew I was in good hands!!...”
“The staff at Aventis Dental is truly amazing. Everyone, from the front desk to...”
“I’ve been seeing Dr. Imogen for over four years and completely trust Aventis with...”
“Dr Jonathan is highly skilled and makes me feel at ease. I have a...”
“I’ve been seeing Dr. Imogen for over four years and completely trust Aventis with...”
“Absolutely incredible team! Extremely welcoming, make you as comfortable as possible and just simply...”
“Mr. Childers and Ms. Carolina were amazing. They made Elianna’s experience fun, gentle, fast,...”
“I had an absolutely outstanding experience at this world-class dental practice! From the moment...”
“The service, treatments, and entire team at Aventis are absolutely fantastic! I have been...”
“Thank you to Aventis for the impeccable service you’ve continually provided for my son....”
“The staff at Aventis Dental is truly amazing. Everyone, from the front desk to...”
“I recently visited Dr. Childers at Aventis, and I couldn’t be happier with the...”
“Last Thursday was my first time walking into Aventis Dental, there is no other...”
“For the first time in 35 years I dared to have treatment at the...”
“The service here was beyond excellent. Everyone was so polite and friendly and Sean...”
“I would HIGHLY recommend Aventis Dental to anyone; especially if you have children who...”
“I recently had the most incredible experience at Aventis Dental and Facial Aesthetics. Their...”
“Posting on behalf on my husband, whom normally dreads anything dental. Aventis got him...”
“Spectacular experience. Went in first visit for a regular clean up. Walked out with...”
“I was completely impressed with their professionalism and customer service. The young lady at...”
“Aventis was an excellent experience from start to finish. All of the staff were...”
